Сайт издательства «Медиа Сфера»
содержит материалы, предназначенные исключительно для работников здравоохранения. Закрывая это сообщение, Вы подтверждаете, что являетесь дипломированным медицинским работником или студентом медицинского образовательного учреждения.
Эндоскопическая диагностика глубины инвазии ранних форм колоректального рака
Журнал: Доказательная гастроэнтерология. 2018;7(3): 60‑64
Прочитано: 6863 раза
Как цитировать:
Рак прямой и ободочной кишки (колоректальный рак, КРР), распространяющийся в пределах слизистой оболочки (m) и поверхностном подслизистом слое с глубиной инвазии менее 500 мкм (sm1) практически не имеет риска метастазирования и может быть радикально удален эндоскопическими методами [1]. Однако дифференцировать глубину инвазии опухоли на этой стадии бывает сложно, особенно между sm1 и инвазией в глубокие слои подслизистой (sm2—3). Методика эндоскопического ультразвукового исследования (эндосонография) не позволяет решить эту задачу, особенно при локализации опухоли в ободочной кишке [2]. Использование методики дифференциальной диагностики глубины инвазии на основе анализа микроструктуры поверхности и капиллярных сетей опухоли на сегодняшний день является основным путем решения вопроса о глубине инвазии. Описано около 10 различных классификаций, которые можно использовать для этих целей [3]. Однако наиболее известной и распространенной в клинической практике является классификация S. Kudo и соавт. [4].
В рамках Международной конференции «Высокие технологии в эндоскопии пищеварительной системы», которая проходила в Ярославле 30 июня — 1 июля 2017 г., были продемонстрированы клинические случаи применения современных эндоскопических технологий диагностики и лечения ранних форм КРР. Демонстрацию проводил руководитель отделения эндоскопии Национального онкологического центра Токио, проф. Ютака Сайто (Токио, Япония) на базе Ярославской областной клинической онкологической больницы (ЯОКОБ).
Пациентка К., 59 лет. Диагноз: рак сигмовидной кишки T1N0M0, 1-я стадия, 2-я клиническая группа. При обследовании пациентки в проксимальной части сигмовидной кишки выявлена полиповидная эпителиальная опухоль размером 2,5×2,0 см (рис. 1) 

Исследование выполнялось при помощи видеоколоноскопа CF-HQ190L производства «Olympus» (Токио, Япония) и процессора серии EVIS Exera III. Эта система последнего поколения оснащена узкоспектральным режимом (NBI) и функцией увеличения изображения Near focus, которая позволяет выбрать нужную глубину резкости и получить более детализированное изображение слизистой оболочки и капиллярных сетей (рис. 3). 

При проведении анализа поверхности проф. Ю. Сайто установил, что структура поверхности опухоли имеет тип Vi по классификации S. Kudo, что соответствует инвазии в глубокий подслизистый слой sm3 или мышечный слой стенки кишки. По современным стандартам, пациентке не было показано эндоскопическое удаление опухоли. Через 6 дней после проведения этапа дифференциальной диагностики глубины инвазии опухоли пациентке выполнена лапароскопическая резекция сигмовидной кишки, при которой было подтверждено наличие глубокой инвазии опухоли (рис. 5). 
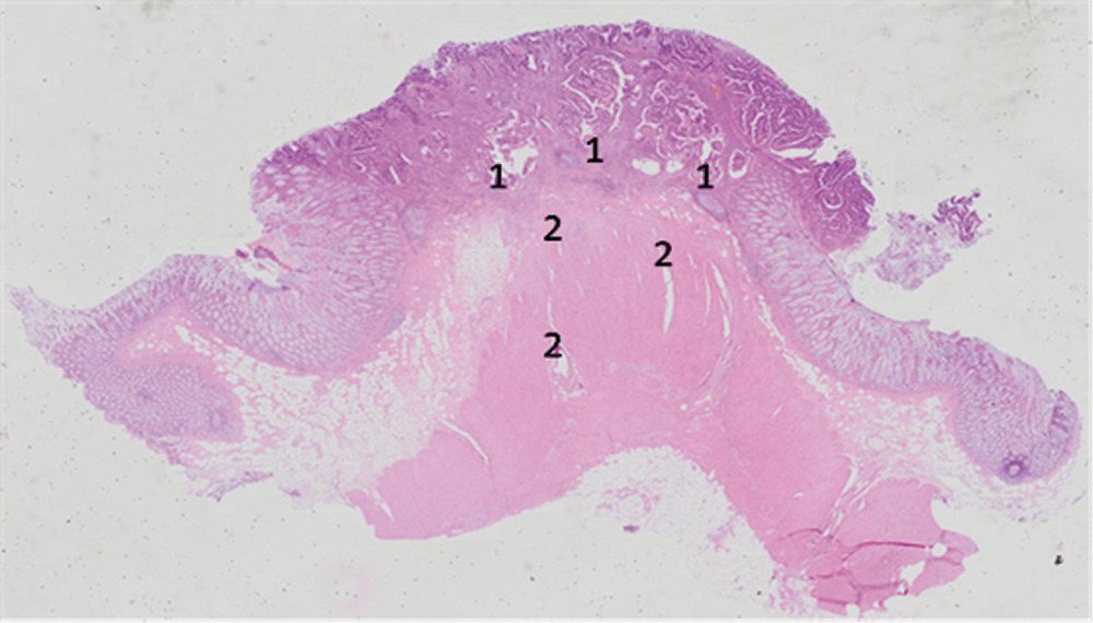
Пациент С., 65 лет. Диагноз: мультицентрический синхронный рак толстой кишки. Рак поперечной ободочной кишки 0-IIa+IIc. Состояние после эндоскопического удаления раннего рака восходящей ободочной кишки 05.2017 (высокодифференцированная аденокарцинома в аденоме, pG1, m3, L0, V0, R0). При обследовании у пациента выявлена латерально распространяющаяся опухоль поперечной ободочной кишки размером 2,0×1,5 см, негранулярный тип. Гистология: умеренно дифференцированная аденокарцинома в аденоме (рис. 6). 
При проведении анализа проф. Ю. Сайто установил, что структура поверхности опухоли имеет тип IV по классификации S. Kudo, что соответствует инвазии только в поверхностный подслизистый слой sm1 (рис. 7). 
Следующий этап — лечебный. Была выполнена эндоскопическая резекция слизистой оболочки с опухолью с диссекцией в подслизистом слое ESD (рис. 8, 9, 


Опыт диагностики и лечения больных с ранними формами рака прямой и ободочной кишки накоплен в ЯОКОБ. В период с 2014 по 2017 г. с использованием методики узкоспектральной эндоскопии и анализом структуры поверхности опухоли с применением классификации S. Kudo был обследован, а затем пролечен с применением эндоскопических методов 91 пациент с ранними формами КРР. Возраст пациентов составил от 47 до 83 лет. Из них 69 пациентам выполнена эндоскопическая резекция слизистой оболочки с опухолью (EMR), 23 пациентам — эндоскопическая резекция слизистой оболочки с диссекцией в подслизистом слое (ESD). По результатам послеоперационного морфологического исследования глубокая инвазия (в глубокий подслизистый или мышечный слой) была выявлена у 5 (5,5%) пациентов после эндоскопического удаления опухоли, которая была первоначально оценена как поверхностный рак (m или sm1). При динамическом наблюдении данной группы пациентов в период от 1 года до 3 лет рецидив рака был выявлен у 3 (3,3%) пациентов.
В последние годы отмечается устойчивая тенденция к увеличению количества диагностированных начальных форм рака прямой и ободочной кишок. Это приводит к необходимости внедрения новых современных эндоскопических методик дифференцирования глубины инвазии опухоли как ключевого этапа в принятии решения о возможности проведения эндоскопического удаления. Применение узкоспектральной эндоскопии и методики Near focus позволяет проводить этап дифференциальной диагностики в режиме реального времени. Данные литературы и наши собственные данные свидетельствуют о высокой эффективности таких подходов в клинической практике. Проведение обучения врачей эндоскопистов и онкологов в рамках системы непрерывного медицинского образования позволяет изучать современные методики на реальных клинических примерах и в дальнейшем использовать опыт ведущих российских и зарубежных экспертов в своей работе.
Авторы заявляют об отсутствии конфликта интересов.
Участие авторов:
Концепция и дизайн исследования — Д.З., С.К.
Сбор и обработка материала — Д.З., Е.Т., В.Г., А.А.
Статистическая обработка — Д.З., А.А.
Написание текста — Д.З.
Редактирование — С.К.
*e-mail: -s_kashin@mail.ru
Подтверждение e-mail
На test@yandex.ru отправлено письмо со ссылкой для подтверждения e-mail. Перейдите по ссылке из письма, чтобы завершить регистрацию на сайте.
Подтверждение e-mail
Мы используем файлы cооkies для улучшения работы сайта. Оставаясь на нашем сайте, вы соглашаетесь с условиями использования файлов cооkies. Чтобы ознакомиться с нашими Положениями о конфиденциальности и об использовании файлов cookie, нажмите здесь.